Skip to main content
Protecting Your Health During the Process

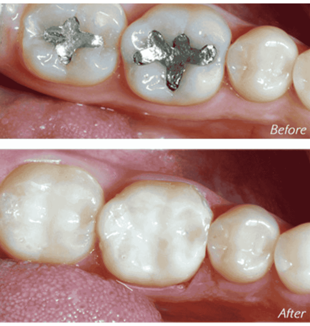
Safe Mercury Amalgam Removal

The SMART Protocol (Safe Mercury Amalgam Removal Technique) is the gold standard for removing toxic mercury fillings—reducing mercury vapor exposure by up to 90% through specialized equipment, protective barriers, and strict safety procedures that protect you, our team, and the environment.

Smart Technique Dental Patient Smiling
The SMART Protocol

The Gold Standard for Safe Mercury Removal

The Problem

Mercury Fillings Are Toxic—But Unsafe Removal Is Worse

X-Outline

Mercury Amalgam Contains 50% Mercury

"Silver" fillings are actually 50% mercury by weight—a potent neurotoxin that continuously releases vapor, especially when you chew, drink hot beverages, or grind your teeth. Mercury accumulates in the brain, kidneys, liver, and other organs over time, contributing to neurological symptoms, autoimmune issues, and chronic health problems.

X-Outline

Standard Removal Releases Dangerous Vapor

When dentists drill out mercury fillings using conventional techniques, they create massive amounts of mercury vapor—exposing you to more mercury in one appointment than years of wearing the filling. You inhale vapor, swallow mercury particles, and absorb it through mucous membranes. Traditional removal can be MORE dangerous than leaving fillings in place.

X-Outline

Most Dentists Don't Follow Safety Protocols

The majority of dental practices don't use proper mercury removal protocols. They lack specialized equipment (high-volume suction, air filtration, rubber dams), don't provide oxygen to patients during removal, and don't protect themselves or staff adequately. This puts everyone at risk—patients, dental team, and the environment.

The SMART Protocol solves all three problems

The safest possible mercury removal process backed by the International Academy of Oral Medicine & Toxicology (IAOMT)

What Is the SMART Protocol? The Gold Standard for Safe Mercury Removal

SMART stands for Safe Mercury Amalgam Removal Technique—a comprehensive set of safety procedures developed by the International Academy of Oral Medicine & Toxicology (IAOMT) based on extensive scientific research. The SMART Protocol uses specialized equipment, protective barriers, and specific techniques to reduce mercury vapor exposure by up to 90% compared to conventional removal methods.

At Champions for Oral Health, Dr. Kasperowski is SMART-certified and has completed over 500 safe mercury removals. We follow every element of the IAOMT protocol without compromise, using medical-grade air purification, high-volume suction, complete isolation techniques, and biocompatible replacement materials to protect your health throughout the removal process and beyond.

When mercury removal is done right, it's not just safe—it can be life-changing.

Why Mercury Removal Matters

The Health Case for Mercury-Free Dentistry

Mercury Amalgam Health Concerns

What is mercury amalgam? "Silver" dental fillings are actually 50% mercury by weight, combined with silver, tin, copper, and zinc. Mercury is the second most toxic element on Earth (after plutonium) and is classified as a neurotoxin.

How mercury fillings release vapor:

  • Constant low-level release during normal wear
  • Increased release when chewing (up to 15x baseline)
  • Increased release from hot beverages, teeth grinding
  • Increased release during dental procedures
  • Vapor is absorbed through lungs (80% absorption rate)
  • Accumulates in brain, kidneys, liver, thyroid, pituitary gland

Scientific evidence of harm:

  • Over 16,000 studies document mercury's toxicity
  • WHO (World Health Organization): States no safe level of mercury exposure exists
  • FDA acknowledgment: Mercury fillings release mercury vapor and warns against use in pregnant women and children
  • Multiple countries have banned mercury amalgam use in dentistry

Symptoms commonly associated with mercury toxicity:

  • Chronic fatigue and brain fog
  • Memory problems and cognitive decline
  • Tremors or muscle twitching
  • Mood changes (anxiety, depression, irritability)
  • Sleep disturbances
  • Headaches and migraines
  • Numbness or tingling
  • Digestive issues
  • Immune system dysfunction
  • Thyroid problems

Important note: We're not diagnosing mercury toxicity—that requires medical evaluation. However, many patients report symptom improvement after SMART mercury removal, even when they didn't realize mercury was contributing to their health issues.

Mercury Vapour being released
The Case for Safe Removal

Should everyone remove mercury fillings?

This is a personal decision based on several factors:

Reasons to consider removal:

  • You have symptoms possibly related to mercury toxicity

  • Fillings are old, cracked, or failing (removal needed anyway)

  • You're planning pregnancy (reduce exposure)

  • You have autoimmune conditions (reduce inflammatory triggers)

  • You're sensitive to metals

  • You prefer to eliminate all toxic materials from your body

  • You're undergoing detoxification or wellness programs

 

When removal may not be urgent:

  • Fillings are intact and asymptomatic
  • You have no health concerns
  • Financial constraints make phased removal more practical
  • You're not yet ready to commit to the process

The critical point: If you decide to remove mercury fillings—and many people do—you MUST use SMART protocol. Unsafe removal can cause MORE harm than leaving fillings in place.

Why we removed mercury from our practice: In 2015, Champions for Oral Health became 100% mercury-free. We don't place new amalgam fillings, and we only remove existing amalgam using SMART protocol. We believe:

  • No one should have toxic materials in their mouth
  • Removal must be done safely to prevent harm
  • Biocompatible alternatives exist and perform excellently
  • Your long-term health is worth the investment
Safe Mercury Amalgam Removal Technique  Logo
The SMART Removal Process

What to Expect: Your Safe Mercury Removal Journey

Schedule an Appointment
01

Step 1: Comprehensive Consultation (60 minutes)

What to Expect: Your Safe Mercury Removal Journey

Step-by-Step Timeline

Step 1: Comprehensive Consultation (60 minutes)

What happens:

  • Complete health history review
  • Evaluation of all mercury fillings (number, size, location, condition)
  • Assessment of any symptoms you're experiencing
  • Discussion of SMART protocol and safety measures
  • Sequencing plan if you have multiple fillings
  • Review of replacement materials (biocompatible options)
  • Cost estimate and timeline discussion

What we determine:

  • Which fillings should be removed first (strategic sequencing)
  • How many can be safely removed per appointment
  • Whether you're a good candidate for mercury removal
  • Your biocompatible material preferences

Optional: Biocompatibility testing if you have known sensitivities or autoimmune conditions

Investment: $150-$250 (often credited toward treatment) Timeline: Single appointment

02

Step 2: Application to Targeted Area

Step 2: Pre-Removal Preparation (1-2 weeks before, optional)

What this means: Some patients choose to support their body's detoxification capacity before mercury removal.

Optional preparation strategies:

  • Nutritional supplementation (antioxidants, minerals that bind mercury)
  • Increased hydration
  • Sauna or detox protocols
  • Coordination with naturopathic physician or functional medicine doctor

Dr. Kasperowski can provide:

  • Nutritional guidance
  • Supplement recommendations
  • Referrals to integrative health providers if desired

Important: Pre-removal prep is optional. The SMART protocol itself is the primary protection. However, many patients feel more prepared and experience better outcomes with additional support.

03

Step 3: Safe Removal

Step 3: SMART Mercury Removal Appointment (60-120 minutes)

Appointment structure:

Pre-treatment (10-15 minutes):

  • Review of protocol and what to expect
  • Placement of protective barriers (gown, hair covering, face protection)
  • Oxygen nasal cannula or mask fitted and tested
  • Air filtration systems activated
  • Patient positioned comfortably

During removal (30-90 minutes, depending on number of fillings):

  • Local anesthesia administered (if needed—some patients prefer not)
  • Rubber dam placed and sealed
  • Oxygen flow confirmed
  • High-volume suction positioned
  • Water irrigation begun
  • Mercury filling sectioned and removed in chunks
  • Tooth cleaned and disinfected (often with ozone therapy)
  • Temporary or permanent biocompatible restoration placed

You will:

  • Breathe pure oxygen throughout (not room air)
  • Be completely isolated from mercury exposure
  • Feel standard dental work sensations (pressure, vibration)
  • NOT taste or smell mercury (rubber dam prevents this)
  • Remain comfortable throughout

Post-removal (10 minutes):

  • Rubber dam removed
  • Mouth rinsed thoroughly
  • All protective barriers removed and safely discarded
  • Final check and bite adjustment
  • Post-removal care instructions provided

How many fillings per appointment?

  • Small fillings: Up to 4 quadrants (full mouth) possible in single appointment
  • Large fillings: Usually 1-2 quadrants per appointment
  • Our recommendation: Conservative approach—1-2 quadrants per appointment to minimize total mercury exposure and allow body to process released mercury between appointments

Investment: $300-$600 per filling (includes SMART protocol safety measures + biocompatible replacement) Timeline: 60-120 minutes per appointment

04

Step 4: Post-Removal Care & Detoxification Support (Ongoing)

Immediate post-removal (24-48 hours):

  • Avoid very hot or very cold foods/drinks initially
  • Soft diet for 24 hours if sensitivity occurs
  • Continue normal oral hygiene (gentle brushing)
  • Increase water intake to support kidney function

Short-term (1-2 weeks):

  • Any sensitivity typically resolves within days
  • Biocompatible fillings harden fully within 24 hours
  • Resume all normal eating and activities

Detoxification support (optional but recommended): Many patients pursue active mercury detoxification after removal:

Natural detox support strategies:

  • Increased hydration: Flush mercury through kidneys
  • Chlorella supplementation: Binds mercury in digestive tract
  • Vitamin C, selenium, glutathione: Antioxidants that support detox
  • Infrared sauna: Promotes sweating and mercury excretion
  • Cilantro and cruciferous vegetables: Natural mercury chelators

Medical detoxification:

  • Chelation therapy: Medical protocol using chelating agents (DMPS, DMSA, EDTA)
  • Should only be done AFTER all mercury fillings removed
  • Requires supervision by physician trained in chelation
  • We can refer to qualified practitioners

Follow-up with Dr. Kasperowski:

  • Typically 1-2 weeks after removal to check healing
  • Additional removals scheduled if you have multiple fillings (usually spaced 2-4 weeks apart)
  • Long-term: Regular wellness dental care with biocompatible materials only
Three-Step Plan

Your Path to Safe Mercury Removal

01

Schedule an Appointment

Talk to our friendly and knowledgeable team.

Call or Book Online

02

Visit the Office

Our office is a reflection of your care, modern, clean and comfortable.

03

Smile

Leave knowing all of your dental needs have been taken care of.

FAQs

Your SMART Mercury Removal Questions Answered

Below are the most common questions patients have about SMART Mercury Removal. If your question is not in the list below, please click on the "Ask Your Specific Question" button below, and we will happily answer your questions.

How much does SMART mercury removal cost?

Is SMART mercury removal safe during pregnancy?

How many mercury fillings can be safely removed in one appointment?

Will my symptoms improve after mercury removal?

Can I have an MRI with mercury fillings?

What if I'm sensitive to the local anesthetic?

How long after mercury removal should I wait before chelation therapy?

Does Champions for Oral Health still place mercury amalgam fillings?

What happens to removed mercury? Is it safe for the environment?

Can mercury fillings be replaced with tooth-colored fillings on the same day?

How do I know if I have mercury fillings?

Is there a "correct order" for removing multiple mercury fillings?

SMART Protocol vs. Standard Removal

Why SMART Protocol Is Non-Negotiable

Standard removal mercury exposure: 100 units (example) SMART Protocol mercury exposure: 10 units (90% reduction)

This is why protocol matters. The difference between safe and unsafe removal can mean the difference between symptom improvement and symptom worsening.

Many patients report feeling WORSE after standard mercury removal—not because mercury removal is harmful, but because the removal process itself exposed them to massive amounts of vapor.

With SMART protocol, the opposite occurs—patients feel better because they've eliminated the source WITHOUT creating additional exposure.

Side-by-Side Comparison Table

 
Safety Measure Standard Mercury Removal SMART Protocol at Champions
Rubber Dam Rarely used Always—complete isolation
Patient Oxygen Supply Breathes office air (mercury-contaminated) Pure oxygen via nasal cannula—never inhales vapor
High-Volume Suction Standard saliva ejector (inadequate) Industrial high-volume evacuator positioned at tooth
Air Filtration
None or standard HVAC Medical-grade HEPA + activated carbon (Surgically Clean Air & IQAir)
Water Cooling Minimal or intermittent Copious cold water—continuous spray
Protective Barriers
Maybe a bib Full body covering, hair covering, face/eye protection
Removal Technique Ground into fine particles (maximum vapor) Sectioned into large chunks (minimal vapor)
Mercury Waste Enters sewer system Captured by amalgam separator, disposed as hazardous waste
Room Decontamination
None 20+ minutes air filtration, surface cleaning between patients
Staff Protection
Minimal Full PPE—respirators, face shields, gowns
Mercury Exposure Reduction Baseline (100%) 90% reduction compared to standard removal

 

Ready for Safe, SMART Mercury Removal?

If you're ready to eliminate mercury from your body—or simply want to understand your options—schedule a comprehensive SMART protocol consultation with Dr. Kasperowski. We'll evaluate your mercury fillings, discuss your health goals, explain the complete SMART process, and create a personalized removal plan that prioritizes your safety at every step.

No pressure, no judgment—just expert guidance from one of Northern Virginia's most experienced SMART-certified dentists.

Book online or call our team at (703) 591-5637. Same-day and evening appointments available.

Wellness Dentistry Happy Patient