Skip to main content
Brighter, Whiter Smile in Fairfax, VA

Professional Teeth Whitening

Professional teeth whitening removes years of stains and discoloration—brightening your smile up to 8 shades in just one hour with in-office treatment, or gradually at home with custom trays. Safe, effective, and dramatically more powerful than over-the-counter products.

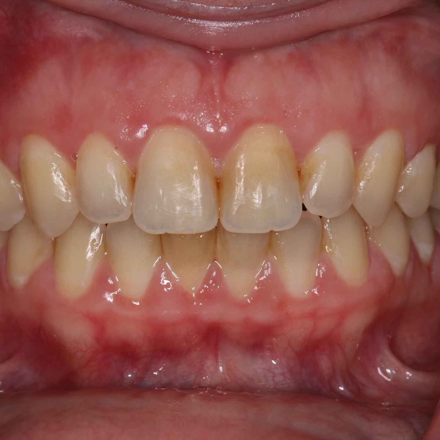
Teeth-Whitening-Hero

Professional Teeth Whitening

Professional teeth whitening addresses surface and internal stains—creating dramatic brightness improvements in days or even hours.

The Problem

Why Teeth Lose Their Brightness: Common Causes of Discoloration

X-Outline

Years of Surface Stains

Coffee, tea, red wine, dark berries, and tobacco create stubborn surface stains on tooth enamel. Even with excellent brushing, these pigments gradually accumulate—making teeth appear yellow, dull, or dingy. Over-the-counter whitening toothpastes barely scratch the surface of these deep-set stains.

X-Outline

Natural Aging Process

As we age, tooth enamel naturally thins, revealing more of the yellow dentin layer beneath. Additionally, years of wear create microscopic cracks where stains penetrate deeper. The combination creates an aged, yellowed appearance that makes you look older than you feel.

X-Outline

Lifestyle & Medications

Certain antibiotics (tetracycline), excessive fluoride exposure during childhood, trauma to teeth, and genetic factors cause intrinsic discoloration that starts inside the tooth. These stains are resistant to surface whitening and often create gray, brown, or banded discoloration.

The Solution - Professional Teeth Whitening

How Professional Whitening Works: The Science of Brightening

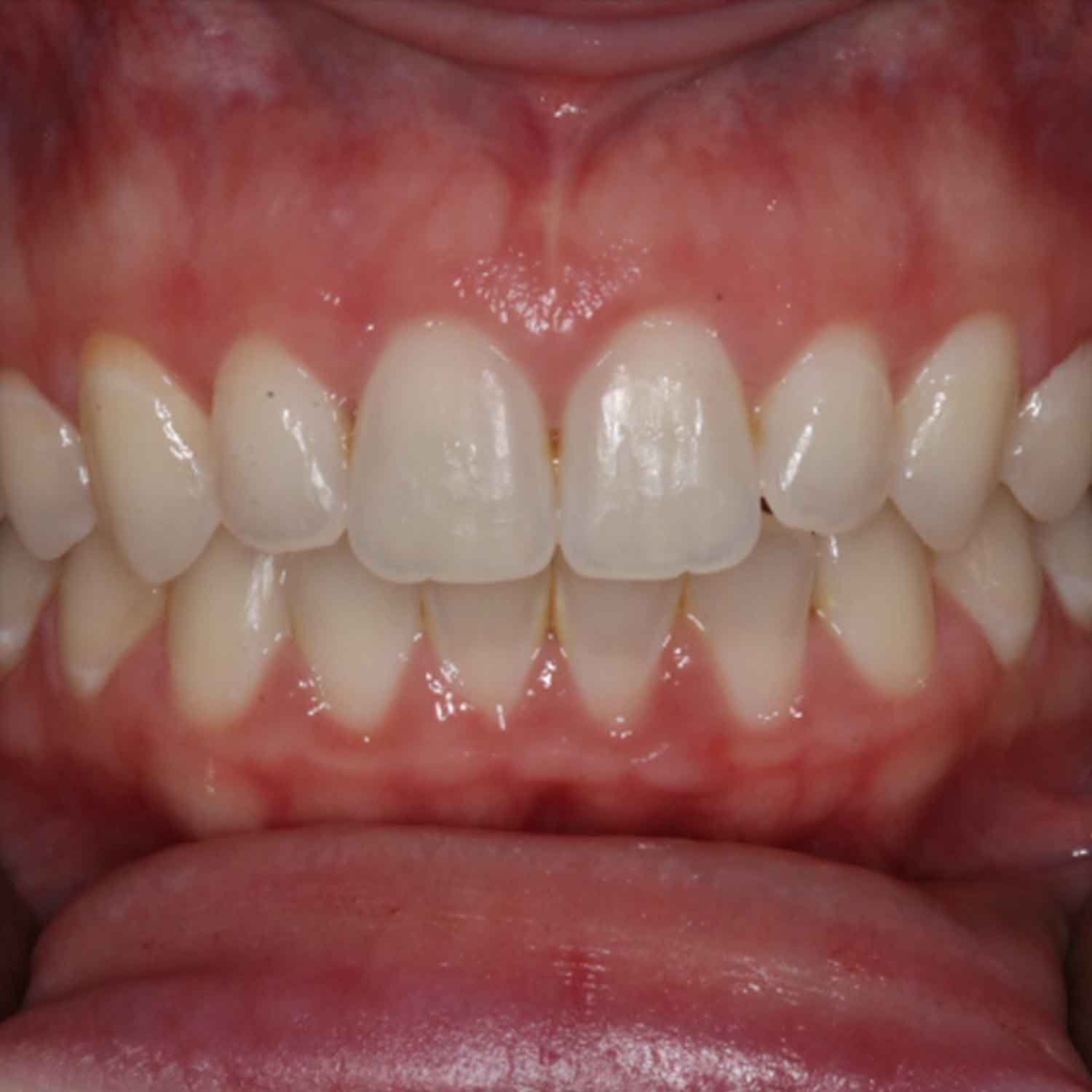
Professional teeth whitening uses high-concentration bleaching agents (hydrogen peroxide or carbamide peroxide) to break down stain molecules embedded in tooth enamel. These powerful oxidizing agents penetrate enamel and dentin, chemically altering the structure of discolored compounds—making them colorless and revealing the natural white color beneath.

Unlike over-the-counter products that contain 3-10% whitening agent, professional treatments use 15-40% concentrations (under dental supervision)—delivering dramatically faster and more complete stain removal. The result is a brighter, whiter smile that can be achieved in a single office visit or gradually over 1-2 weeks at home.

Over 90% of patients see noticeable whitening with professional treatment—typically improving 3-8 shades depending on starting color and treatment method.

Who can Whiten

Is Teeth Whitening Right for You?

Ideal Candidates

You're an excellent candidate if you have:

  • Yellow or brown surface stains (from coffee, tea, wine, tobacco)
  • Age-related yellowing
  • Healthy teeth and gums (no active decay or disease)
  • Realistic expectations (whitening improves natural teeth, not restorations)
  • Desire for brighter, more youthful smile

Whitening works exceptionally well for:

  • Coffee and tea drinkers
  • Wine enthusiasts
  • Former or current smokers
  • Patients with age-related yellowing
  • Anyone wanting a brighter, more confident smile
Is Teeth Whitening Right for You_
Whitening at Champions for Oral Health

Why Choose Champions for Teeth Whitening

At Champions for Oral Health, we combine professional-strength whitening with our comprehensive wellness dentistry philosophy—ensuring your brighter smile is achieved safely using biocompatible, evidence-based methods.

Dr. Kasperowski, a Digital Smile Design Master, can show you a preview of your whitening results before treatment begins, helping you choose the perfect shade that complements your complexion and smile design.

We offer both in-office power whitening for immediate results and custom take-home systems for gradual, gentle whitening—often recommending take-home trays for patients with sensitive teeth or those seeking the longest-lasting results.

As part of your whitening consultation, we'll assess your overall oral health, discuss any concerns about sensitivity, and create a personalized whitening plan that fits your timeline, budget, and aesthetic goals while ensuring your teeth and gums remain healthy throughout the process.

Why Choose Champions for Teeth Whitening
The Whitening Process & Timeline

What to Expect: Your Whitening Journey

Schedule a Teeth Whitening Appointment
Check-Filled

In-Office Whitening Timeline

Pre-Treatment (Days Before):

  • Professional cleaning recommended (remove surface plaque/tartar for better results)
  • Avoid staining foods/drinks 48 hours before
  • Address any tooth sensitivity concerns

Treatment Day (60-90 minutes):

  • Arrival and shade assessment (photos taken)
  • Gum protection applied
  • 3-4 whitening cycles (15-20 minutes each)
  • Post-treatment fluoride and sensitivity management
  • Final shade assessment (see your new smile!)

Post-Treatment (First 48 Hours - Critical):

  • "White Diet" essential—avoid all staining substances
  • Teeth are most porous immediately after whitening
  • No coffee, tea, red wine, dark sodas, berries, tomato sauce, soy sauce
  • No tobacco
  • Stick to white/light-colored foods (chicken, fish, pasta, white cheese, bananas)

Long-Term (Weeks After):

  • Gradually reintroduce staining foods
  • Use whitening toothpaste for maintenance
  • Touch-ups every 6-12 months as needed
Check-Filled

Take-Home Whitening Timeline

Week 1: Custom Trays Made

  • Impressions taken
  • Trays fabricated (takes 3-7 days)

Week 2: Start Whitening

  • Pick up custom trays and gel
  • Begin wearing daily (30 minutes to overnight depending on gel strength)
  • Track progress with shade guide

Week 3: Continue & Assess

  • Most improvement visible by week 2
  • Continue until desired shade achieved
  • Typically 7-14 days of wear

Weeks 4+: Maintenance

  • Touch-ups every 3-6 months (one or two applications)
  • Use same trays indefinitely
  • Purchase additional gel as needed
Three-Step Plan

Your Path to Whiter Teeth

01

Schedule an Appointment

Talk to our friendly and knowledgeable team.

Call or Book Online

02

Visit the Office

Our office is a reflection of your care, modern, clean and comfortable.

03

Smile

Leave knowing all of your dental needs have been taken care of.

FAQs

Your Teeth Whitening Questions Answered

Below are the most common questions patients have about Tooth Whitening. If your question is not in the list below, please click on the "Ask Your Specific Question" button below, and we will happily answer your questions.

Does teeth whitening damage enamel?

How white can my teeth get?

How long does whitening take?

Will whitening work on crowns, veneers, or fillings?

Is whitening painful?

Can I whiten if I have sensitive teeth?

How soon will I see results?

Can I drink coffee after whitening?

Will my teeth look fake or too white?

Can I whiten while pregnant or breastfeeding?

What about natural whitening methods (baking soda, charcoal, oil pulling)?

Professional vs. Over the counter

Why Professional Whitening Works Better Than Store Bought Products

Side-by-Side Comparison Table

Factor Professional Whitening Over-the-Counter Products
Whitening Agent Strength 15-40% hydrogen peroxide 3-10% hydrogen peroxide
Whitening Power 5-8 shades lighter 1-2 shades lighter (at most)
Custom Fit Custom-fitted trays (perfect fit) One-size-fits-all strips/trays
Even Results Uniform coverage, consistent whitening Uneven application, patchy results
Safety Supervised by dentist No professional oversight
Sensitivity Management Desensitizing treatments available No professional sensitivity management
Stain Removal Deep intrinsic and extrinsic stains Surface stains only
Results Timeline 1 hour (in-office) or 1-2 weeks (take-home) 2-4 weeks (if any noticeable change)
Longevity 1-4 years 3-6 months
Cost $300-$800 $20-$100
Effectiveness 90%+ success rate 40-60% satisfaction rate

 

The result

Professional whitening delivers consistent, predictable results while OTC products are hit-or-miss.

Why Custom Trays Matter

Generic strips/trays

Black-X-Filled

Don't conform to tooth shape

Black-X-Filled

Slip, shift, and leak

Black-X-Filled

Miss areas (uneven whitening)

Black-X-Filled

Contact gums (irritation)

Black-X-Filled

Inefficient gel delivery

Professional custom trays

Check-Filled

Fit your teeth precisely

Check-Filled

Keep gel in contact with tooth surface

Check-Filled

Reduces sensitivity

Check-Filled

Ensure even whitening across all teeth

Check-Filled

No gaps or leakage

Ready to Love Your Smile? See It Before You Commit.

Your whitening consultation includes comprehensive shade assessment, discussion of your whitening goals, evaluation of your teeth and gums, and personalized treatment recommendations—with zero obligation.

Discover how white your smile can be and which whitening method is right for you.

Book online or call our team at (703) 591-5637. Same-day appointments available.

Cosmetic Dentistry with Dr Kasperowski